WHY IS OPERATIVE DENTISTRY IMPORTANT
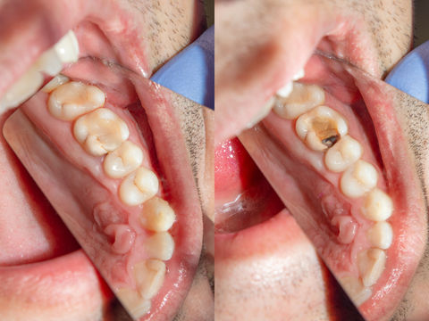
OPERATIVE DENTISTRY is simply treating missing or malformed portions of the teeth caused by tooth decay, trauma, discoloration, or unusual development. There are several options for the material used to restore and correct these conditions – silver amalgam, tooth-colored composite resin or resin-modified materials, porcelain, gold, etc.
Cutting edge all-on-four Single Visit Treatment
Winyah Dental Group is excited to be one of the only providers in our area to offer the cutting-edge dental procedure known as the All-on-four. This surgical treatment concept is where implants replace the full arch of upper or lower teeth with fixed (screwed in) non-removable full-arch prosthetic teeth. This treatment eliminates the flange and palate of a denture.
Benefits
All-on-four offers several benefits that other common tooth restoration methods do not.
Single Visit
Patients can walk into Winyah Dental Group with little or no teeth and walk out with a complete smile the same day without ever wearing a denture.
Improved Quality of Life
All-on-four gives you natural-looking and long-lasting beautiful teeth. Talking and eating feel normal, unlike with dentures—even more reason to smile like you mean it.
Promote Jawbone Health
All-on-four helps reduce the risk for periodontal diseases because it restores and strengthens your jawbone.
Confidence to "Smile Like You Mean It"
Easy to Care For
Just as with your natural teeth, daily brushing, flossing, and regular visits to your dentist are all you'll need to care for your implant-supported bridge.
Cost-Effective
The All-on-four procedure that addresses a full arch with complete restoration in a single visit is less expensive than replacing each tooth. When you think about the confidence and healthy smile that results from this treatment, it's an investment worth making.
dental fillings
As mentioned, we have several options that can work when restoring your teeth. They type of material chosen can vary based on several factors like the location of the filling and the extent of the damage to your teeth.









